Informations et conseils dentaires

Comment savoir que la dent est morte ?
Introduction Les dents jouent un rôle crucial dans notre vie quotidienne. Elles nous permettent de manger, de parler, et d'afficher un sourire éclatant. Cependant, il peut arriver que l'une de...
Comment savoir que la dent est morte ?
Introduction Les dents jouent un rôle crucial dans notre vie quotidienne. Elles nous permettent de manger, de parler, et d'afficher un sourire éclatant. Cependant, il peut arriver que l'une de...

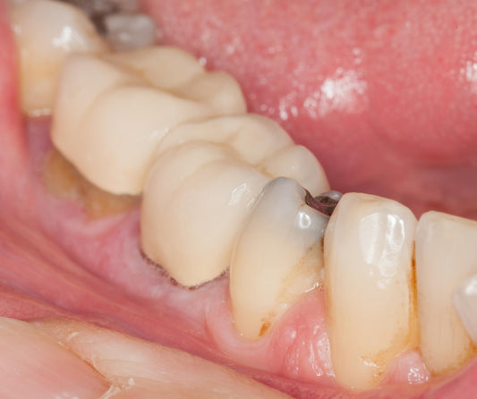
Comment reconnaître une dent pourri ?
Avoir une bonne santé dentaire est primordiale pour la santé globale de notre corps. Les dents sont les piliers de notre corps qui nous permettent de manger, de parler et...
Comment reconnaître une dent pourri ?
Avoir une bonne santé dentaire est primordiale pour la santé globale de notre corps. Les dents sont les piliers de notre corps qui nous permettent de manger, de parler et...

C'est quoi une Nécrose dentaire ?
La nécrose dentaire est un problème de santé bucco-dentaire courant qui affecte de nombreuses personnes à travers le monde. Cette condition est souvent causée par une infection bactérienne, une blessure...
C'est quoi une Nécrose dentaire ?
La nécrose dentaire est un problème de santé bucco-dentaire courant qui affecte de nombreuses personnes à travers le monde. Cette condition est souvent causée par une infection bactérienne, une blessure...

C'est quoi la fluorose ?
La fluorose est une maladie dentaire qui se caractérise par une altération de la surface de l'émail dentaire. Elle est causée par une exposition excessive à des niveaux élevés de...
C'est quoi la fluorose ?
La fluorose est une maladie dentaire qui se caractérise par une altération de la surface de l'émail dentaire. Elle est causée par une exposition excessive à des niveaux élevés de...

C'est quoi l'érosion dentaire ?
L'érosion dentaire est une condition dentaire qui se produit lorsque l'émail de vos dents est progressivement érodé par des acides présents dans les aliments, les boissons et le reflux acide....
C'est quoi l'érosion dentaire ?
L'érosion dentaire est une condition dentaire qui se produit lorsque l'émail de vos dents est progressivement érodé par des acides présents dans les aliments, les boissons et le reflux acide....

Qu'est-ce qui tâche le plus les dents ?
Avoir des dents blanches et brillantes est quelque chose que tout le monde veut, mais il est parfois difficile de maintenir cette brillance. De nombreux facteurs peuvent entraîner des dents...
Qu'est-ce qui tâche le plus les dents ?
Avoir des dents blanches et brillantes est quelque chose que tout le monde veut, mais il est parfois difficile de maintenir cette brillance. De nombreux facteurs peuvent entraîner des dents...