Informations et conseils dentaires

Comment savoir si c'est une carie ou une tâche ?
Si vous remarquez une petite tâche ou une décoloration sur une dent, cela peut être inquiétant. Est-ce une carie ou simplement une tâche inoffensive ? Comment savoir la différence ?...
Comment savoir si c'est une carie ou une tâche ?
Si vous remarquez une petite tâche ou une décoloration sur une dent, cela peut être inquiétant. Est-ce une carie ou simplement une tâche inoffensive ? Comment savoir la différence ?...

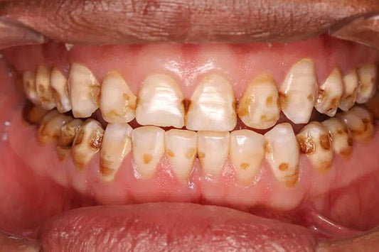
Qu'est-ce qui cause les taches marrons sur les ...
Le sourire 😁est l'un de vos plus grands atouts. Il peut non seulement éblouir les autres, mais aussi renforcer votre confiance en vous. L a présence de taches brunes 🟫 sur vos...
Qu'est-ce qui cause les taches marrons sur les ...
Le sourire 😁est l'un de vos plus grands atouts. Il peut non seulement éblouir les autres, mais aussi renforcer votre confiance en vous. L a présence de taches brunes 🟫 sur vos...

Pourquoi j'ai des traits sur les dents ?
Si vous remarquez des traits sur vos dents, cela peut être alarmant. Cependant, ce n'est pas nécessairement un signe de problèmes dentaires graves. Dans cet article, nous explorerons les raisons...
Pourquoi j'ai des traits sur les dents ?
Si vous remarquez des traits sur vos dents, cela peut être alarmant. Cependant, ce n'est pas nécessairement un signe de problèmes dentaires graves. Dans cet article, nous explorerons les raisons...

Comment faire pour avoir une bonne haleine tout...
Introduction Avoir une mauvaise haleine peut être embarrassant et peut causer une gêne sociale. Cela peut également indiquer un problème de santé sous-jacent. Il est donc important de maintenir une...
Comment faire pour avoir une bonne haleine tout...
Introduction Avoir une mauvaise haleine peut être embarrassant et peut causer une gêne sociale. Cela peut également indiquer un problème de santé sous-jacent. Il est donc important de maintenir une...

Est-ce que le bicarbonate de soude blanchit les...
Avoir des dents blanches et éclatantes est quelque chose que tout le monde souhaite, mais cela peut être difficile à maintenir en raison de divers facteurs tels que la consommation...
Est-ce que le bicarbonate de soude blanchit les...
Avoir des dents blanches et éclatantes est quelque chose que tout le monde souhaite, mais cela peut être difficile à maintenir en raison de divers facteurs tels que la consommation...

Comment soigner un déchaussement dentaire natur...
Le déchaussement dentaire est un problème courant qui touche de nombreuses personnes. Cela se produit lorsque la gencive qui entoure les dents commence à se retirer, laissant la dent exposée...
Comment soigner un déchaussement dentaire natur...
Le déchaussement dentaire est un problème courant qui touche de nombreuses personnes. Cela se produit lorsque la gencive qui entoure les dents commence à se retirer, laissant la dent exposée...