Informations et conseils dentaires

Avis Dentifrice Violet, ça marche vraiment ?
Beaucoup de gens ont des taches sur les dents ou les dents jaunes à cause des habitudes quotidiennes telles que la consommation de tabac, de café, de thé, de jus de fruits...
Avis Dentifrice Violet, ça marche vraiment ?
Beaucoup de gens ont des taches sur les dents ou les dents jaunes à cause des habitudes quotidiennes telles que la consommation de tabac, de café, de thé, de jus de fruits...

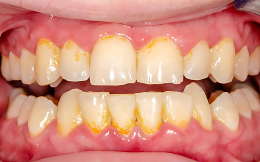
Surfaçage Radiculaire : Qu'est-ce que c'est ?
Le détartrage parodontal et le surfaçage radiculaire sont considérés comme des services parodontaux essentiels. Lorsque la plaque dentaire et le tartre restent sur les dents, ils créent des conditions favorables à...
Surfaçage Radiculaire : Qu'est-ce que c'est ?
Le détartrage parodontal et le surfaçage radiculaire sont considérés comme des services parodontaux essentiels. Lorsque la plaque dentaire et le tartre restent sur les dents, ils créent des conditions favorables à...

Détartrage Dentaire chez le dentiste : Que Savo...
Le détartrage est l'une des procédures dentaires les plus courantes dans les cliniques dentaires 🏥. Il s'agit de l'élimination de la plaque et/ou du tartre entre et autour des dents...
Détartrage Dentaire chez le dentiste : Que Savo...
Le détartrage est l'une des procédures dentaires les plus courantes dans les cliniques dentaires 🏥. Il s'agit de l'élimination de la plaque et/ou du tartre entre et autour des dents...

Plaque Dentaire : Qu'est-ce que c'est et commen...
La plaque dentaire est l'un des plus grands ennemis de votre sourire 😁. Se brosser les dents 🦷 et utiliser du fil dentaire deux fois par jour est le meilleur...
Plaque Dentaire : Qu'est-ce que c'est et commen...
La plaque dentaire est l'un des plus grands ennemis de votre sourire 😁. Se brosser les dents 🦷 et utiliser du fil dentaire deux fois par jour est le meilleur...

Qu'est-ce que le tartre dentaire ? Symptômes et...
Pas moins de 68 % des adultes ont du tartre dentaire. Face à ce problème bucco dentaire très répandu, Dentica® s'est donné pour mission de vous donner les meilleures astuces et...
Qu'est-ce que le tartre dentaire ? Symptômes et...
Pas moins de 68 % des adultes ont du tartre dentaire. Face à ce problème bucco dentaire très répandu, Dentica® s'est donné pour mission de vous donner les meilleures astuces et...

Est-ce que le citron est mauvais pour les dents ?
Lorsqu'il s'agit de la santé dentaire, nous sommes souvent préoccupés par les aliments et les boissons qui peuvent nuire à l'émail de nos dents. Le citron est l'un de ces...
Est-ce que le citron est mauvais pour les dents ?
Lorsqu'il s'agit de la santé dentaire, nous sommes souvent préoccupés par les aliments et les boissons qui peuvent nuire à l'émail de nos dents. Le citron est l'un de ces...